Our Services




We Used Most Advanced Technology

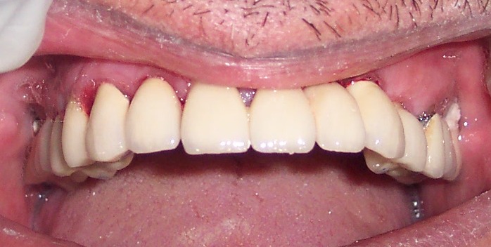
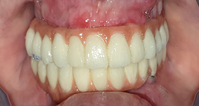
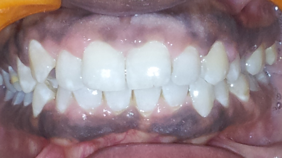
cost of full dentures and lava esthetic crown
artificial teeth price and cerec dentistry
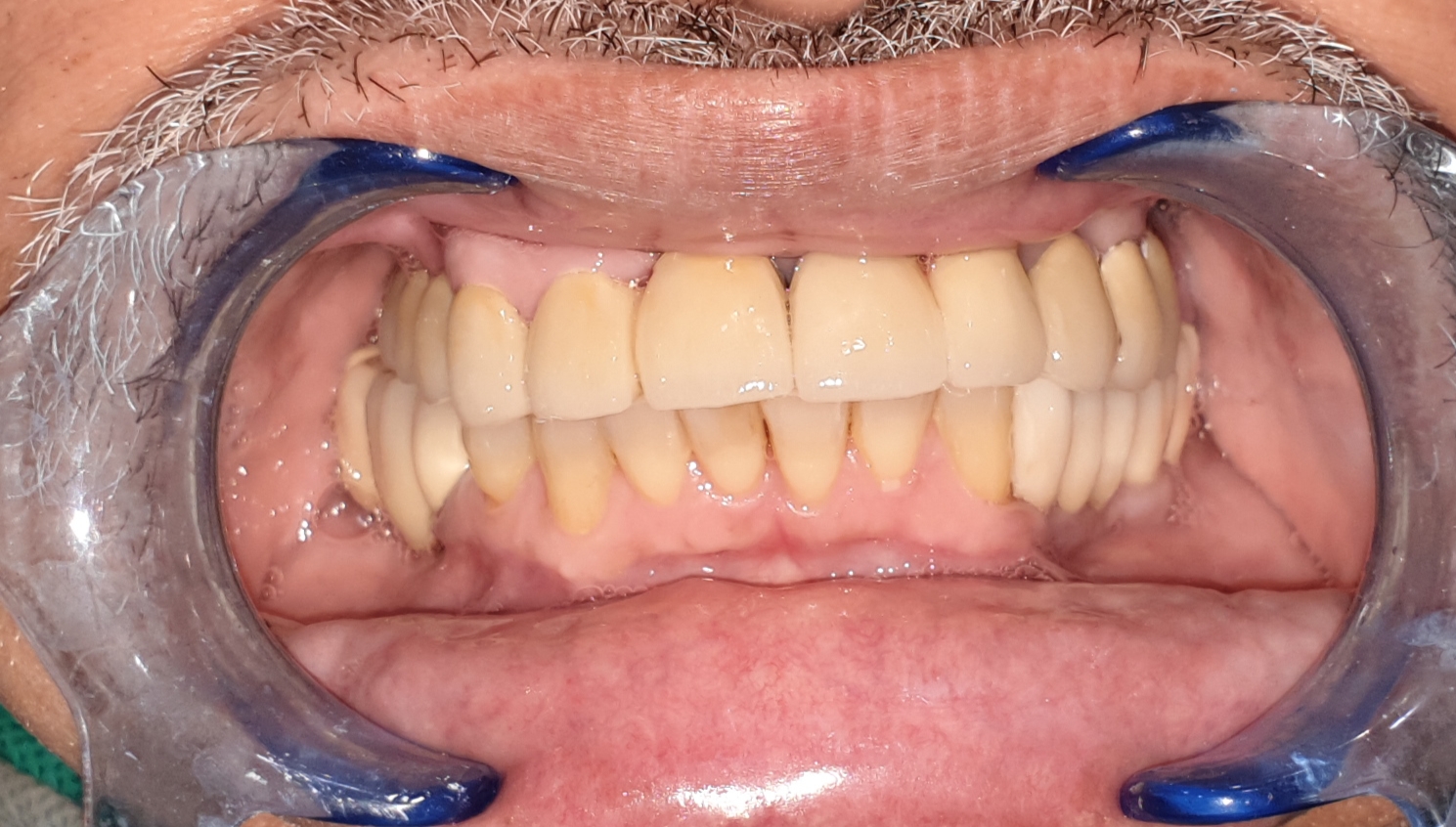
tooth implant cost and digital smile designing
Straumann Implants and 3m lava zirconia
phillips zoom teeth whitening and flexible dentures price
durr dental
biolase dental laser
care stream
nobel biocare
ankylos
adin dental implant
dentsply
biohorizon
zimmer teeth implant
osstem dental implant cost
invisalign in india
straumann implants in india
alphabio implants missing tooth replacement
 cost
coltene
ultradent dental
emax crowns